
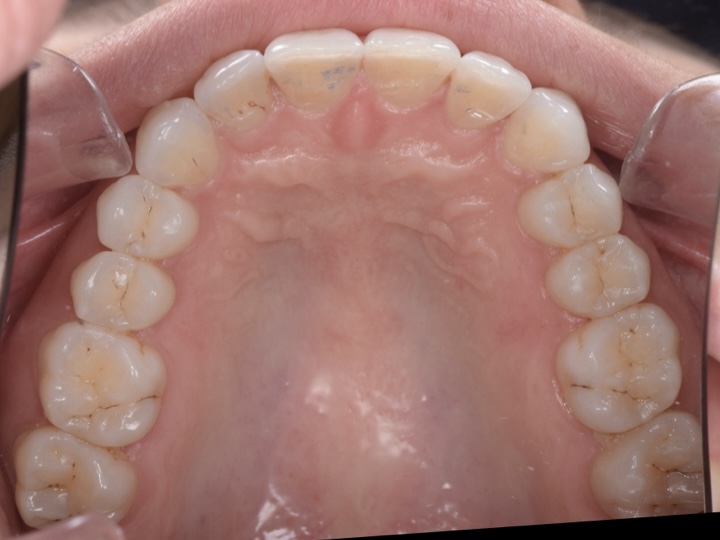
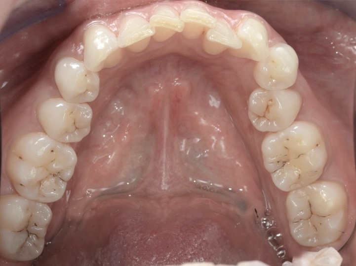
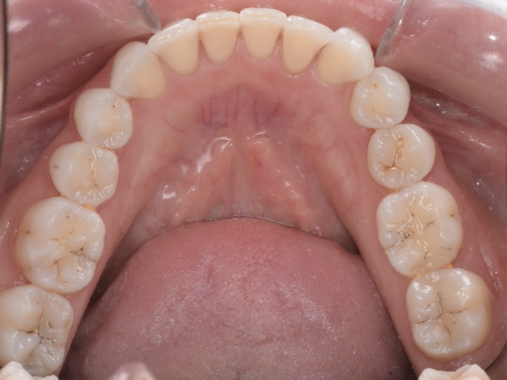
Invisalign® – Traitement orthodontique par aligneurs
Invisalign® utilise une série d’aligneurs transparents et amovibles pour guider progressivement les dents vers leur position planifiée, sans bagues ni fils métalliques.
Présentation du traitement
Le traitement commence par une consultation complète afin d’évaluer la structure dentaire et d’élaborer un plan individualisé. La technologie de scan numérique permet de créer une série d’aligneurs sur mesure, portés de manière séquentielle afin d’ajuster progressivement la position des dents. La durée du traitement dépend de chaque cas, généralement comprise entre six et dix-huit mois. Le nombre d’aligneurs nécessaires varie selon les objectifs du traitement et la réaction des dents.
Prise en charge du patient
Le traitement Invisalign® au cabinet est réalisé dans le respect des normes professionnelles et scientifiques, avec une attention portée aux besoins de chaque patient. De la consultation initiale à la fin du traitement, le processus est suivi avec soin, précision et attention au confort du patient. Les aligneurs sont amovibles pour les repas, le brossage et l’utilisation du fil dentaire, et conçus pour faciliter l’hygiène bucco-dentaire.
Les résultats sont propres à chaque patient et peuvent varier selon sa situation.
L’ensemble des images est la propriété intellectuelle du Dr Catea et illustre des actes cliniques réalisés au sein du cabinet. Toute reproduction, diffusion ou utilisation sans autorisation écrite préalable est strictement interdite.






