Bridges fixes en céramique – Traitement dentaire restaurateur

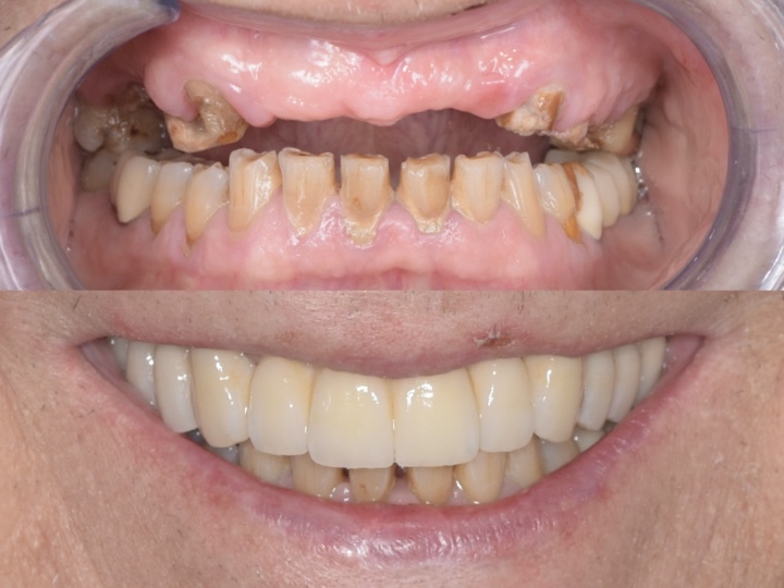
Un bridge fixe en céramique est une restauration dentaire non amovible utilisée pour remplacer une ou plusieurs dents manquantes. Il est fabriqué en céramique dentaire haute résistance et conçu pour soutenir la fonction et la morphologie dentaire.

Un bridge céramique traditionnel est constitué de deux couronnes posées sur les dents saines adjacentes à l’espace (appelées dents piliers). Ces couronnes soutiennent la ou les dents artificielles, appelées pontiques, qui comblent l’espace des dents manquantes. Le bridge contribue à restaurer la fonction masticatoire et la morphologie dentaire.

Considérations cliniques

Les bridges en céramique peuvent aider à :

  • Soutenir la fonction masticatoire et la parole
  • Préserver l’alignement dentaire en limitant le déplacement des dents adjacentes
  • Maintenir la morphologie dentaire dans la zone des dents manquantes
  • Constituer une alternative stable aux prothèses partielles amovibles

Avec des soins appropriés, les bridges en céramique sont durables et compatibles avec les dents adjacentes.

Déroulement du traitement

La procédure comprend généralement deux rendez-vous. Lors du premier rendez-vous, les dents piliers sont préparées sous anesthésie locale pour recevoir les couronnes. Des empreintes numériques sont réalisées et envoyées au laboratoire dentaire intégré du cabinet, où le bridge sur mesure est fabriqué. Un bridge temporaire est placé pour protéger les dents pendant la préparation de la restauration permanente.

Lors du second rendez-vous, le bridge sur mesure est évalué pour l’ajustement, la forme et la teinte. Des ajustements sont effectués si nécessaire, puis le bridge est fixé de manière stable.

Entretien et suivi

Après le traitement, le patient reçoit des conseils pour maintenir une bonne hygiène bucco-dentaire, notamment le brossage, le passage du fil dentaire autour et sous le bridge, ainsi que la réalisation de contrôles réguliers, afin de soutenir la durabilité à long terme et la santé bucco-dentaire.

Les résultats sont propres à chaque patient et peuvent varier selon sa situation.

L’ensemble des images est la propriété intellectuelle du Dr Catea et illustre des actes cliniques réalisés au sein du cabinet. Toute reproduction, diffusion ou utilisation sans autorisation écrite préalable est strictement interdite.