
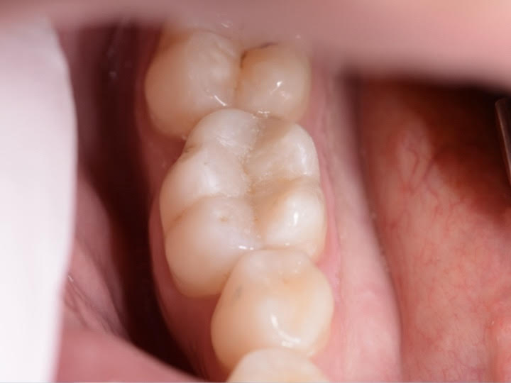
Obturation en composite – Restauration de la structure et de l’esthétique des dents
Les obturations en composite, également appelées plombages de couleur dent, sont utilisées pour réparer les dents affectées par des caries, des fissures, des fractures ou d’autres dommages structurels. Elles peuvent également être employées à des fins esthétiques, comme le remodelage ou la correction de petites imperfections.
Les obturations en composite sont largement utilisées en raison de leur capacité à se rapprocher de la couleur naturelle des dents, ce qui les rend adaptées aux zones visibles, y compris les dents antérieures. Elles offrent une restauration durable tout en conservant un aspect naturel.
Procédure de pose
Les obturations en composite sont généralement réalisées en une seule séance. Selon l’étendue de la cavité et le confort du patient, une anesthésie locale peut être utilisée. Après l’anesthésie si nécessaire, la carie ou le matériau endommagé est retiré, et la dent est nettoyée et préparée. Le matériau composite est ensuite appliqué, modelé et poli avec soin afin de restaurer la fonction et l’apparence de la dent.
Une légère sensibilité au chaud ou au froid peut survenir au début, mais elle disparaît généralement lorsque la dent s’adapte à la nouvelle obturation.
Les résultats sont propres à chaque patient et peuvent varier selon sa situation.
L’ensemble des images est la propriété intellectuelle du Dr Catea et illustre des actes cliniques réalisés au sein du cabinet. Toute reproduction, diffusion ou utilisation sans autorisation écrite préalable est strictement interdite.




